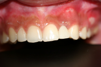
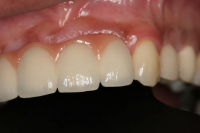
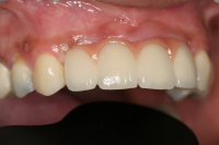
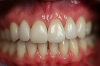
Gallery
I really like my visit to Dr K. at Elite Smiles. Instead of the expensive dental crown, he gave me a great looking filling at an affordable price compared to other offices. The work he has done is of a really high quality and he is an excellent dentist. A dentist like this is so hard to find, and I highly recommend Dr K.
Dr Koutsoukos is the best! I had a very positive experience dealing with him. His professional demeanor was reassuring and his friendly disposition put me at ease. Going to the dentist can be stressful for some but I had no reservations letting him near my teeth. (more…)
Friendly dental office great first impression! The doctor is super nice and explained everything to me he even took pictures to show me where I needed fillings. (more…)
I reached out to Elite Smiles hoping that Dr. Koutsoukos could "fix" my crown. I was impressed by Dr.K's ability to assess the damage and provide a solution. He successfully replaced my crown and since then he has performed other dental procedures, all without incident. (more…)
Been going to Dr K for over a year now for various different things that I wanted to get done. What started out as a cracked tooth turned into a complete overhaul because Dr K walked me thru what was happening with my teeth, and physically showed me with xrays & photos, and we talked about my options and what my end goal was. (more…)
This was my first visit to Elite Smiles....First impressions: Clean, extremely professional offices......The first person I met was Dr. Koutsoukos, he was smiling and very warm in greeting me. The paperwork was necessary but not confusing. Every single person I came in contact with throughout the visit was kind and friendly. I simply can't say enough GOOD about my visit (and I am not a fan of dentist visits). (more…)












